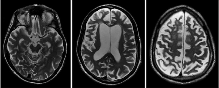
Observe a ressonância magnética a seguir.

(https://www.google.com/url?sa=i&url=https%3A%2F%2Fwww.pacificneuroscienceinstitute.org)
Um homem de 65 anos apresenta-se para avaliação neurológica com queixas de movimentos involuntários lentos e contorcidos afetando principalmente os membros superiores. Ele relata que esses sintomas começaram há cerca de dois anos e têm piorado progressivamente, interferindo nas atividades diárias, como escrever e manusear utensílios. O exame físico revela distonia axial leve e ausência de sinais parkinsonianos. Não há histórico familiar conhecido da condição. Com base na apresentação clínica e na imagem da ressonância desse paciente, qual dos seguintes diagnósticos é mais provável?