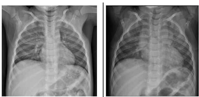
Menino de 2 anos e 6 meses, com história de tosse, dispneia, choro, inapetência e febre há 4 dias, realizou radiografa de tórax (primeira imagem). Após o exame, a mãe recebeu receita médica com medicações para a criança tomar durante 2 semanas, com orientação de repetir a radiografa (segunda imagem) 1 semana após o término do tratamento.

Considerando os dados clínicos e as radiografas acima, analise as afirmativas abaixo e dê os valores Verdadeiro (V) ou Falso (F).
( ) O diagnóstico inicial mais provável é pneumonia, tanto pelos dados clínicos como pela presença de opacidades pulmonares no terço médio à direita na primeira imagem, porém o achado de massa mediastinal na segunda imagem torna a hipótese de pneumonia menos provável.
( ) No exame de controle evolutivo realizado 3 semanas após o primeiro atendimento houve o aparecimento de consolidações pulmonares supra-hilares bilaterais, indicando piora radiológica.
( ) Após a análise das duas radiografas, pode-se chegar à conclusão de que trata-se de um quadro de hiperplasia tímica rebote em criança em processo de recuperação de pneumonia.
Assinale a alternativa que apresenta a sequência correta de cima para baixo.