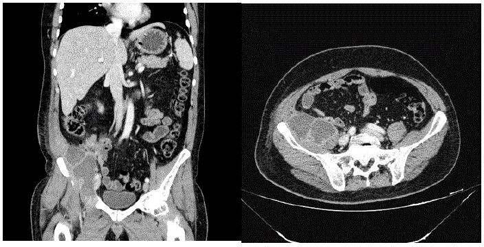
Homem, 37 anos de idade, refere dor abdominal na fossa ilíaca direita há 12 dias, acompanhada de febre de até 38ºC, perda de apetite e queda do estado geral. Procurou o serviço de urgência por duas vezes e há 6 dias foi iniciado ciprofloxacino devido à hipótese de infecção urinária. Retorna hoje ao Pronto-Socorro devido a persistência do quadro.
Ao exame clínico:
Regular estado geral, febril, FC:90 bpm, PA: 130x80 mmHg
Tórax sem alterações.
Abdome flácido, massa palpável de cerca de 10cm na fossa ilíaca e flanco direito, dor localizada na região da massa. Sem sinais de irritação peritoneal. Toque retal sem alterações.
Exames laboratoriais: Hb: 14,6 g/dL; Leuco: 26,57 mil/mm3; PCR: 324mg/dL; Creat: 1,37 mg/dl; Ureia: 51 mg/dl; demais exames normais.
Realizada tomografia de abdome (imagens a seguir):

Qual é o melhor tratamento?