Uma mulher de 63 anos de idade, obesa, hipertensa, diabética e dislipidêmica, em uso irregular de anlodipino,
metformina e sinvastatina, compareceu ao pronto-socorro com relato de tosse, febre aferida de 38,2 oC, coriza, mialgia e
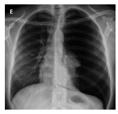
espirros há três dias, porém, nos últimos dois dias também percebeu edema de membros inferiores e dispneia importante que
a fizeram procurar o pronto-socorro. Ela relatou que realizou um teste recente na farmácia, influenza A positivo. Na admissão,
apresentou: temperatura de 37,7 oC; glasgow 15; PA 180 x 110; FC 118 irpm; e FR 26 irpm. A paciente segurava-se à grade do
leito devido à ortopneia, havia presença de estase jugular, pulso com ritmo irregular e ausculta com estertores de base até terço
ápice bilateralmente. O eletrocardiograma da paciente apresentou: ausência de onda P; RR irregular; QRS estreito; e
FC 118 bpm.


Assinale a alternativa que corresponda ao exame de imagem compatível ao caso clínico apresentado.