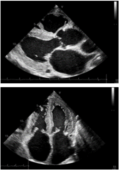
Paciente de 72 anos de idade, sexo masculino, sem histórico de doença coronariana, hipertensão arterial controlada, apresenta síndrome do túnel do carpo, síncope e sintomas de insuficiência cardíaca há 4 meses.
Com base nessa situação hipotética e nas imagens, assinale a alternativa que inclui a principal hipótese diagnóstica e um método complementar de avaliação ecocardiográfica que deve ser aplicado nesse caso.

Imagem: arquivo pessoal.