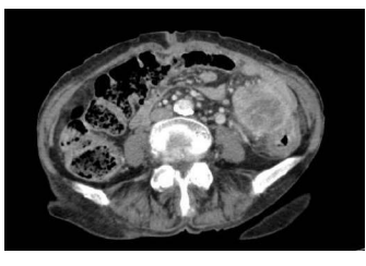
Uma paciente de 81 anos de idade, portadora de demência senil, hipertensão arterial, diabetes tipo 2 e artrite reumatoide, sem antecedentes familiares de neoplasia, deu entrada no pronto-socorro com dor abdominal em hipogastro e fossa ilíaca esquerda, sem irradiação há duas semanas, com piora progressiva. Estava em investigação por constipação intestinal com médico da unidade de saúde próxima à sua casa. Durante a investigação, realizou uma tomografia computadorizada de abdome total com contraste, que evidenciou a imagem abaixo.

Com base nesse caso hipotético, assinale a alternativa correta.