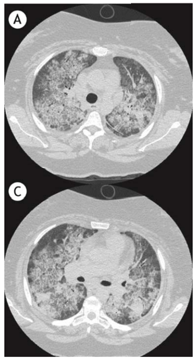
Um homem de 36 anos de idade, cabeleireiro, tabagista (cinco anos/maço), evoluiu progressivamente, durante o último ano, com dispneia e “sensação de afogamento”. Procurou diversos serviços durante esse período, tendo sido diagnosticado com síndrome respiratória gripal por covid duas vezes, devido aos achados tomográficos, porém com sorologia e PCR negativos em ambos os momentos. Realizou, também, testes para tuberculose e pneumocistose, ambos negativos. No momento, sem queixas ao repouso e saturando 94% em ar ambiente.

Com base nesse caso hipotético, assinale a alternativa que apresenta o próximo passo na investigação.
Provas
Questão presente nas seguintes provas