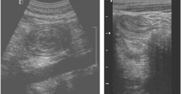
Paciente do sexo feminino, 1 ano e 3 meses, é levada pela mãe ao pronto atendimento pediátrico, com relato de choro forte acompanhado de movimento de flexão das pernas e fezes em “geleia de framboesa”. Com base no quadro clínico e nas imagens ecográficas realizadas no flanco direito, qual é a principal hipótese diagnóstica?
