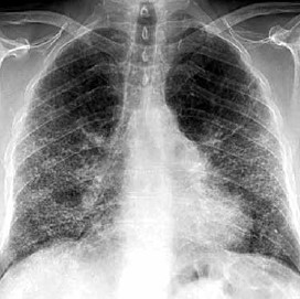
Mulher de 63 anos de idade apresenta quadro de tosse progressiva e dispneia. Ela nega qualquer história de artrite, lesões cutâneas ou queixas oculares. Não há tabagismo ou exposição ocupacional. Ao exame físico: queda do estado geral; afebril; pulso: 90 bpm; frequência respiratória: 32/min; pressão arterial: 119 x 76 mmHg; baqueteamento digital; ausculta pulmonar com crepitações bilaterais (tipo “velcro”). Gasometria arterial em ar ambiente: pH 7,47; PCO2: 32 mmHg; PO2: 60 mmHg. Há queda da saturação arterial de oxigênio ao esforço leve. A pesquisa de tuberculose no escarro é negativa. A radiografia de tórax é mostrada abaixo.

(Arquivo pessoal; imagem usada com autorização)
Nessa paciente, o diagnóstico mais provável é