Magna Concursos
3809188 Ano: 2024
Disciplina: Medicina
Banca: VUNESP
Orgão: FICSAE
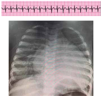
Lactente de 6 meses com tosse, coriza e desconforto respiratório progressivo há 2 dias (chega a ficar “roxinho” nos lábios quando mama, segundo a mãe). Nega internações ou problemas de saúde prévios. Foi trazido ao pronto-socorro devido a piora do desconforto, palidez cutânea e inapetência, com importante comprometimento do estado geral. Ao exame físico, está em mau estado geral, descorado +++/4+, extremidades frias, tempo de enchimento capilar de 5 segundos, pulsos finos, FC = 200 bpm, PA = 62 x 33 (43) mmHg, SatO2 = 87% em ar ambiente, FR = 68 ipm, ausculta pulmonar com estertores crepitantes em bases e ausculta cardíaca com bulhas rítmicas normofonéticas com sopro sistólico +/6+ em borda esternal esquerda. Obtido ritmo cardíaco e radiografia de tórax a seguir.

Enunciado 4584195-1
(Arquivo pessoal; imagens usadas com autorização)

Com base nos dados apresentados, assinale a alternativa que contenha a hipótese diagnóstica mais provável e a conduta mais adequada para o caso.
 

Provas

Questão presente nas seguintes provas

Residência em Medicina - Pediatria

50 Questões