Magna Concursos
3547288 Ano: 2023
Disciplina: Medicina
Banca: VUNESP
Orgão: Pref. Taubaté-SP
Provas:

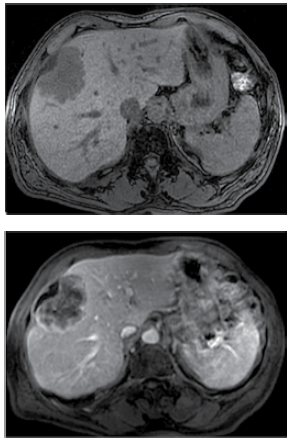
Mulher de 66 anos apresenta quadro de 2 meses de evolução com anorexia, perda de peso, anemia ferropriva e diarreia episódica sanguinolenta. Não há etilismo. A tomografia de abdome realizada é mostrada a seguir.

Enunciado 3636433-1

O exame com maior probabilidade de demonstrar a etiologia do quadro descrito é

 

Provas

Questão presente nas seguintes provas

Médico

40 Questões