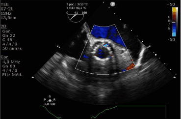
Paciente homem, 85 anos, portador de estenose aórtica grave e alto risco cirúrgico, submetido a implante valvar aórtico percutâneo (TAVI). Imediamente após a liberação da válvula, foi submetido a ecocardiograma transesofágico que mostrou leve refluxo.
A seguinte imagem foi obtida.

Nesse caso, nota-se regurgitação
Provas
Questão presente nas seguintes provas
Oficial Médico - Cardiologia/Ecocardiografia
80 Questões