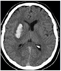
Paciente, sexo masculino, 59 anos, apresenta quadro súbito de hemiparesia completa e proporcionada em dimídio esquerdo, associada à disartria e desvio de rima labial para a direita. Admitido em pronto atendimento hospitalar, realizou a seguinte tomografia computadorizada de crânio:

Qual a etiologia mais provável desse AVC hemorrágico?