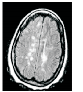
Paciente do sexo feminino, 30 anos, previamente hígida. Apresentou quadro súbito de perda da visão do olho direito com recuperação total em 15 dias. À época não foi feita nenhuma avaliação neurológica. Após seis meses, a paciente apresentou quadro de tonteira e a seguinte imagem é encontrada em sua ressonância magnética de crânio:

Com base na história clínica e na imagem, é necessário investigar qual doença neurológica?

Com base na história clínica e na imagem, é necessário investigar qual doença neurológica?