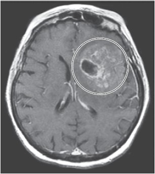
A imagem de ressonância magnética de encéfalo a seguir demonstra uma lesão cerebral captante de contraste em T1. Assinale a alternativa que corretamente identifica a mutação genética mais comum neste tipo de lesão.

(Arquivo pessoal; imagem usada com autorização)