Magna Concursos
2936480 Ano: 2023
Disciplina: Medicina
Banca: Consulplan
Orgão: SES-PA
Provas:
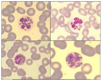
Menino, 18 meses, albino, em atual investigação de infecções bacterianas recorrentes, realizou o seguinte exame:
Enunciado 3265376-1


Qual é o tipo de alteração encontrada?
 

Provas

Questão presente nas seguintes provas

Médico - Patologia

50 Questões