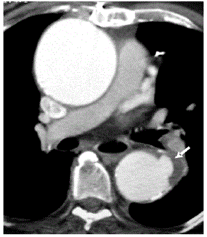
Paciente masculino, com doença aterosclerótica sabida associada a aneurisma da aorta ascendente dá entrada na emergência com dor torácica importante e interescapular.

Baseado na imagem disponibilizada, qual o seu diagnóstico?
Paciente masculino, com doença aterosclerótica sabida associada a aneurisma da aorta ascendente dá entrada na emergência com dor torácica importante e interescapular.

Baseado na imagem disponibilizada, qual o seu diagnóstico?