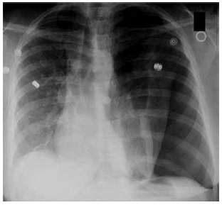
Homem, 55 anos, encontra-se internado para tratamento da covid-19. No décimo sexto dia da doença, tendo sido extubado há 48 horas, recebeu alta para a enfermaria, onde permaneceu em uso de cateter nasal de O2 2 L/min. Encontra-se em uso de enoxaparina 40 mg, metilprednisolona 40 mg/dia e esomeprazol. Antecedentes pessoais: tabagista, com carga tabágica de 60 maços-ano, e obeso. Durante a noite, apresentou episódio de dispneia súbita, associada à dor torácica à esquerda, sendo necessária máscara de Venturi 50% para manter SpO2 em torno de 91%. Neste momento, o exame clínico do paciente apresentava os seguintes achados relevantes: PA = 110 x 70 mmHg, FC = 110 bpm, SpO2 = 92%, FR = 26 ipm; ausculta pulmonar abolida em hemitórax esquerdo, com estertores difusos em hemitórax direito.
A radiografia de tórax encontra-se a seguir.

Assinale a alternativa que apresenta a conduta correta, neste momento.