Magna Concursos
2173714 Ano: 2021
Disciplina: Medicina
Banca: VUNESP
Orgão: EsFCEx

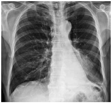
Qual é a principal anormalidade vista na radiografia a seguir?

Enunciado 2173714-1

 

Provas

Questão presente nas seguintes provas

CFO-SSau - Médico/Radiologia

60 Questões