As urgências neurológicas tem importante prevalência em nosso meio. Seu diagnóstico precoce pelo médico assistente do paciente, através da tomografia, é essencial para o bom prognóstico e evolução do paciente.

https://radiopaedia.org/articles/subarachnoid-haemorrhage
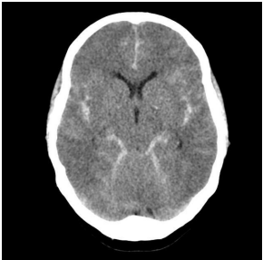
Uma paciente de 23 anos trazida inconsciente, sem história de trauma, dá entrada na sala de emergência e realiza essa tomografia. Qual seria uma possível causa para a principal alteração tomográfica?
Provas
Questão presente nas seguintes provas