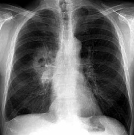
Considerando um homem de 51 anos com a radiografia de tórax mostrada a seguir, é correto afirmar que

(Arquivo pessoal; imagem usada com autorização)
Considerando um homem de 51 anos com a radiografia de tórax mostrada a seguir, é correto afirmar que

(Arquivo pessoal; imagem usada com autorização)