Magna Concursos
3743195 Ano: 2023
Disciplina: Medicina
Banca: UFRN
Orgão: CBM-RN

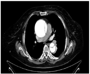
Homem de 57 anos, com antecedente de hipertensão arterial sistêmica, em uso de Clortalidona 25 mg, enalapril 20 mg 12/12 h e anlodipino 10 mg 1x dia, procurou o prontosocorro com queixa de dor torácica, “em rasgando”, de grande intensidade irradiando para dorso. O eletrocardiograma não apresentou alterações significativas. Realizou o exame reproduzido abaixo.

Enunciado 4337234-1

Sobre o caso, o diagnóstico e a conduta são, respectivamente,

 

Provas

Questão presente nas seguintes provas