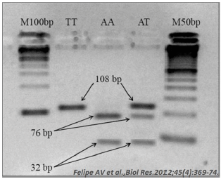
Um estudo caso-controle pareado entre sexo e idade, teve como objetivo analisar a frequência dos genótipos AA, AT e TT do polimorfismo (–251A/T) do gene da IL-8 em pacientes com câncer gástrico (CG) e em pessoas sem câncer. O DNA foi extraído de leucócitos, amplificado pela técnica de PCR (Polymerase Chain Reaction) e genotipado enzimaticamente. Os resultados são representados pela imagem do gel de agarose, abaixo. Além disso, os pesquisadores encontraram a frequência do genótipo AT 2,5 vezes mais elevada no grupo de paciente com CG (p = 0,008).

De acordo com estas informações e sobre biotecnologia, é correto afirmar que
Provas
Questão presente nas seguintes provas