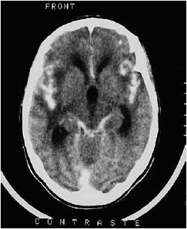
Paciente feminina, 26 anos, admitida no pronto atendimento com relato de cefaleia com piora progressiva na intensidade há 4 semanas, febre aferida de 39 ºC neste mesmo período e, na última semana, sonolência excessiva. Na admissão, você observa a paciente torporosa, localizando estímulos dolorosos nos 4 membros e com rigidez de nuca. Familiares relatam antecedente de uso de drogas. Observe a imagem a seguir.

(http://anatpat.unicamp.br/Dsc31988+.jpg)
Com base na história clínica e no exame de imagem, assinale a alternativa que apresenta corretamente, o resultado esperado do exame de líquor desta paciente.