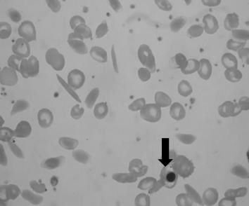
Observe a imagem:

No diagnóstico da anemia falciforme, alguns achados são observáveis no esfregaço de sangue periférico. O indicado pela seta denomina-se:
Observe a imagem:

No diagnóstico da anemia falciforme, alguns achados são observáveis no esfregaço de sangue periférico. O indicado pela seta denomina-se: