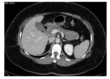
Um paciente de 51 anos de idade, sem comorbidades, iniciou, há três dias, quadro de fortes dores em hipocôndrio direito e epigástrio, com vômitos após refeição copiosa. Fez uso de analgésicos comuns, mas, como houve piora da dor, procurou o atendimento do seu médico particular. O médico solicitou exame de imagem e exame laboratorial para investigação. Nos exames laboratoriais, Hb 13 g/dL, leucócitos 14.000/mm3 , TGO e TGP dentro da normalidade, bilirrubina total 3,2 mg/dL, bilirrubina direta 2,8 mg/dL, amilase 650 U/L, ureia 28 mg/dl, creatinina 1,2 mg/dL, fosfatase alcalina 110 mg/dL, gama GT 320 mg/dL e PCR 5 mg/dL. Realizou uma ultrassonografia, que revelou colelitíase, e a tomografia cuja imagem é mostrada a seguir. Após avaliar os exames, o médico encaminhou o paciente ao pronto-socorro.

Com base nesse caso hipotético, assinale a alternativa correta.