Magna Concursos
2358044 Ano: 2020
Disciplina: Medicina
Banca: GUALIMP
Orgão: Pref. Comendador Levy Gasparian-RJ
Provas:

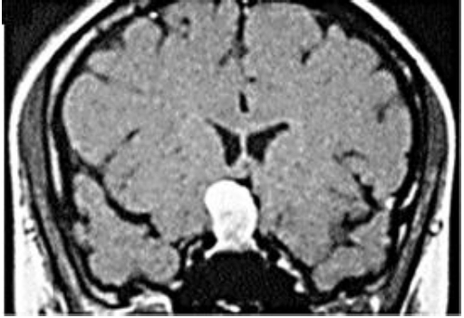
Observe a ressonância magnética, abaixo:

Enunciado 3447086-1

A imagem acima indica Cisto da bolsa de Rathke - RM com uso de gadolíneo, corte coronal. Observa-se massa hiperintensa, em T1 de crescimento:

 

Provas

Questão presente nas seguintes provas

Médico - Endocrinologia

60 Questões