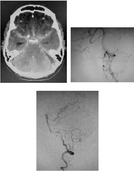
Homem de 53 anos apresentou cefaleia súbita, vômitos e alteração do nível de consciência. Após intubação orotraqueal e suporte clínico, foi realizada tomografia de crânio seguida de angiografia digital cerebral (imagens abaixo).

Assinale a alternativa que apresenta o melhor tratamento para esse caso.