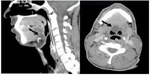
Analise as imagens de tomografia computadorizada a abaixo e assinale a alternativa que melhor representa o diagnóstico.

Provas
Questão presente nas seguintes provas
Médico - Radiologia e Diagnóstico por Imagem
60 Questões
Analise as imagens de tomografia computadorizada a abaixo e assinale a alternativa que melhor representa o diagnóstico.
