Magna Concursos
1740721 Ano: 2019
Disciplina: Medicina
Banca: UPENET/IAUPE
Orgão: SES-PE

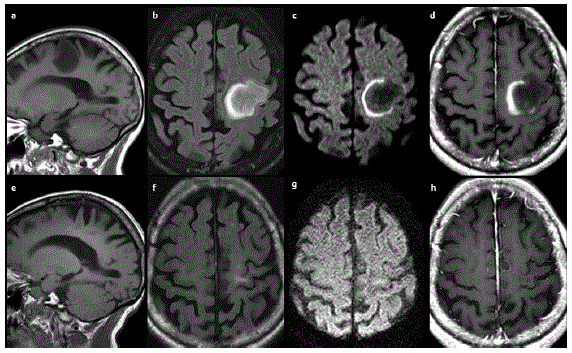
CASO 1. Mulher de 40 anos deu entrada em urgência devido a crises convulsivas e déficit motor. Durante acompanhamento médico, teve as seguintes imagens no diagnóstico e 1 ano após diagnóstico, sem ter sido submetida a qualquer tratamento específico.

enunciado 1740721-1

a: sagital T1; b: axial t2 flair; c: axial difusão; d: axial T1 contrastada. e, f, g, h: são as imagens correspondentes às superiores 1 ano após.

Em relação ao caso, assinale a alternativa CORRETA.

 

Provas

Questão presente nas seguintes provas

Residência em Medicina - Neurorradiologia

50 Questões