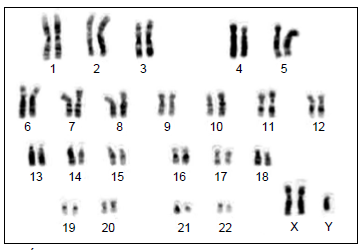
Analise o cariótipo abaixo.

É possível concluir que os portadores da síndrome mostrada apresentam fenotipicamente, dentre outras características:
Provas
Questão presente nas seguintes provas
Analise o cariótipo abaixo.

É possível concluir que os portadores da síndrome mostrada apresentam fenotipicamente, dentre outras características: