Leia o caso a seguir.
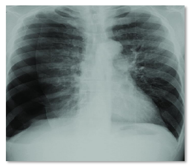
Paciente vítima de politrauma entre carro e moto, no local se levantou, consciente. Após alguns minutos, iniciou quadro de dor torácica, desconforto respiratório, elevação de hemitórax direito, com elevação de cúpula e distensão de veias do pescoço, ipsilateral.

O tratamento correto é: