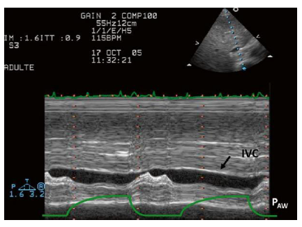
Você recebe na UTI um paciente, em ventilação mecânica invasiva, oriundo da sala
de emergência com diagnóstico de sepse respiratória. Ele apresenta pressão arterial média de 65
mmHg (recebendo noradrenalina em dose 0,3 mg/Kg/min) e apresenta enchimento capilar de 6
segundos. Realizada ultrassonografia torácica, abaixo representada:

Com base nessas informações, qual a conduta mais adequada a ser tomada em relação ao paciente?

Com base nessas informações, qual a conduta mais adequada a ser tomada em relação ao paciente?