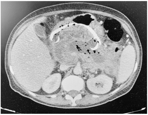
Um paciente, que apresentava pancreatite aguda necrótica complicada há seis semanas, foi submetido a um tratamento.

Com base nesse caso hipotético, é correto afirmar que o exame de controle imediato mostrado acima foi realizado após um tratamento
Provas
Questão presente nas seguintes provas
Residência em Medicina - Endoscopia
40 Questões
Residência em Medicina - Mastologia
40 Questões
Residência em Medicina - Neurologia
80 Questões