Analise o enunciado abaixo para responder às questões 45 a 49.
Mulher de 54 anos, tabagista, com diagnóstico de hipertensão e diabetes prévio, cursou de forma súbita com hemiparesia proporcionada completa à direita. Procurou serviço de emergência, vigil, consciente, disártrica, desorientada em tempo e orientada em espaço, obedecendo comandos, sensibilidade, coordenação sem alterações, NIHSS 10. Após 1h30 do ictus realizou tomografia de crânio (imagem).

Tomografia de crânio com volume estimado do hematoma menor que 30ml
Analise o caso abaixo:
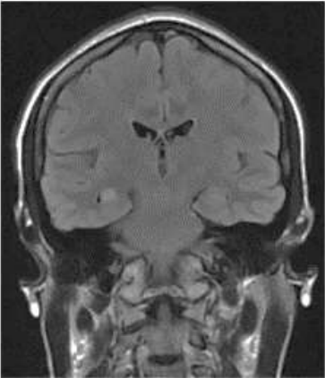
Mulher de 26 anos apresenta múltiplas crises focais disperceptivas, de início focal com automatismos. Em investigação clínica, vista imagem de crânio (imagem).

Ressonância magnética de crânio
Em relação à condição clínica da paciente, assinale a alternativa correta.