Magna Concursos
Questões
Planos
Entrar
Entrar
Criar Conta
Respondida
1114573
Ano:
2012
Disciplina:
Radiologia
Banca:
VUNESP
Orgão:
Pref. São José dos Campos-SP
Provas:
Técnico(a) em Radiologia
Provas
×
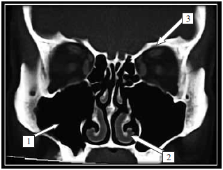
Observe o que segue:
Na imagem radiológica, as estruturas/regiões sinalizadas são, correta e respectivamente,
A
1: corpo da maxila; 2: corneto médio e 3: Crista Galli.
B
1: processo zigomático; 2: cartilagem do septo nasal e 3: placa orbitária do etmoide.
C
1: seio etmoidal; 2: lâmina cribriforme e 3: porção frontal do osso orbital.
D
1: seio esfenoidal; 2: lâmina perpendicular e 3: porção orbitária do osso etmoide.
E
1: seio maxilar; 2: corneto inferior e 3: porção orbitária do osso frontal.
Resolver
Comentários
0
×
Cadernos
×
Flashcards
×
Estatísticas
×
Reportar um erro
×
Provas
Questão presente nas seguintes provas
Técnico(a) em Radiologia
50 Questões
Resolver Prova
Publicar
Responder
Qual o problema da questão?
Selecione uma opção
Questão Desatualizada
Questão Repetida
Gabarito Errado
Outros Motivos
Mensagem
Enviar
Acessar
Criar Conta
Acesse sua Conta
Google
Facebook
Esqueci minha senha
Acessar
Ainda não tem conta?
Crie uma
!
Crie uma Conta
Criar Conta
Olá, para continuar, precisamos criar uma conta!
É
rápido
e
grátis
.
Google
Facebook
Concordo com os
Termos de Uso
Criar
Já tem uma conta?
Acesse aqui