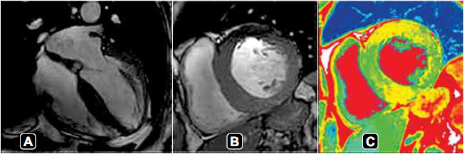
Paciente idoso, sexo masculino, 71 anos, portador de hipertensão arterial sistêmica e sem relato de outras comorbidades, com queixa de macroglossia, episódios de diarreia alternada com constipação, em uso de tipoia (tratamento conservador) após rotura espontânea do tendão do bíceps, procura o ambulatório com queixa de parestesia de membros inferiores.
Durante investigação etiológica, realizou uma ressonância cardíaca, apresentada a seguir.

A principal hipótese diagnóstica é: