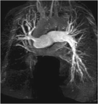
Mulher de 32 anos apresenta dispneia progressiva aos esforços no último ano. O exame físico é notável para: pressão arterial: 123 x 81 mmHg; frequência cardíaca: 91/min, saturação de oxigênio: 91%; pulmões limpos; ausculta cardíaca com componente pulmonar alto de B2; edema simétrico de membros inferiores. Há 4 meses ela usa furosemida, enalapril e apixabana, com pouca melhora clínica. O cateterismo cardíaco direito mostra: pressão atrial direita: 14 mmHg; pressão arterial pulmonar (média): 38 mmHg; resistência vascular pulmonar: 6,8 unidades Wood (544 dinas por segundo por cm-5); pressão capilar pulmonar: 8 mmHg. A angiografia pulmonar é mostrada a seguir.

(Arquivo pessoal: imagem usada com autorização.)
Nessa paciente, a conduta mais apropriada é