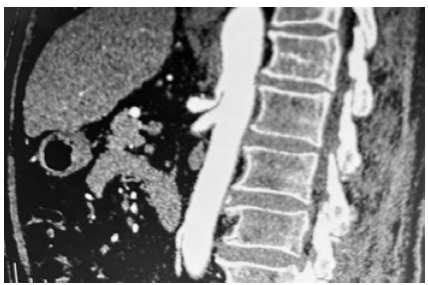
Uma paciente de 48 anos de idade compareceu
ao pronto atendimento com dor abdominal epigástrica,
que piorou no período pós-prandial, há aproximadamente
12 meses. Ela relatou ter procurado atendimento por
múltiplas vezes, sem elucidação adequada do quadro. Já
foi realizada a colecistectomia, sem indícios de melhora.
Houve perda de 10 kg nos últimos 3 meses devido a esse
quadro. Relatou piora da dor nos últimos dias, o que a fez
procurar o atendimento de urgência. A paciente estava em
bom estado, lactato 0,9. Exames cardiológicos estavam
normais. Foi realizada angiotomografia, que evidenciou a
imagem a seguir.
Com base nessa situação hipotética e na imagem acima, assinale a alternativa que apresenta o diagnóstico e a conduta adequados para o caso.
Com base nessa situação hipotética e na imagem acima, assinale a alternativa que apresenta o diagnóstico e a conduta adequados para o caso.
Provas
Questão presente nas seguintes provas