Magna Concursos
3293834 Ano: 2024
Disciplina: Medicina
Banca: CEPUERJ
Orgão: UERJ

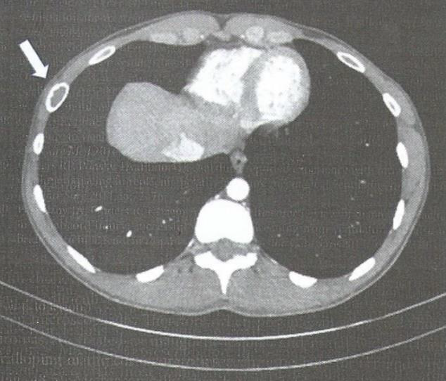
Paciente de 28 anos, apresenta achado tomográfico em arco costal revelado pela seta na figura a seguir.

Enunciado 3698473-1

Fonte: Locicero e col. (2019).

O provável diagnóstico é:

 

Provas

Questão presente nas seguintes provas

Médico - Cirurgia Torácica

60 Questões