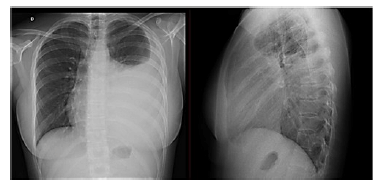
Paciente do sexo feminino, de 25 anos de idade, estudante universitária, tinha história de asma intermitente na infância, sem necessidade de uso de broncodilatador havia quase 10 anos e uso diário de medicações. Compareceu à emergência relatando mal-estar, febre e tosse produtiva havia 12 dias. Nos últimos 2 dias, tinha havido piora da tosse, febre persistente apesar do uso de antitérmicos, inapetência e início de dor torácica próxima ao mamilo direito, principalmente à inspiração profunda. Ao exame físico, havia diminuição do murmúrio vesicular no terço inferior do hemitórax esquerdo e macicez à percussão. O hemograma indicou leucocitose com 12% de formas jovens. A imagem a seguir mostra o Raio X de tórax da paciente.

Considerando o caso clínico apresentado e considerando os conhecimentos médicos a ele correlatos, julgue os itens a seguir.