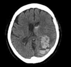
Homem de 52 anos, com histórico de hipertensão arterial sistêmica não aderente ao tratamento, apresenta-se no pronto-socorro com cefaleia súbita e intensa, acompanhada por vômitos e rápida deterioração do nível de consciência.
A tomografia computadorizada (TC) encontra-se a seguir.

(https://www.google.com/url?sa=i&url=https%3A%2F%2Fradiopaedia.org)
Com base nos protocolos atuais para manejo avançado do acidente vascular cerebral hemorrágico (AVCH), das opções apresentadas, assinale a alternativa que melhor reflete a conduta terapêutica inicial mais adequada.