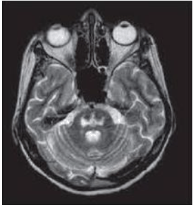
Paciente, 56 anos, internada em leito de UTI devido a complicações da Covid-19, evoluindo com várias intercorrências ao longo dos seus 24 dias de internação hospitalar, como diversos distúrbios hidroeletrolíticos, com necessidade de correção. A paciente evoluiu com tetraparesia espástica e realizou o seguinte exame de imagem:

Assinale o provável diagnóstico da paciente.