Magna Concursos
647876 Ano: 2017
Disciplina: Farmácia
Banca: CESPE / CEBRASPE
Orgão: HUB
Provas:

enunciado 647876-1

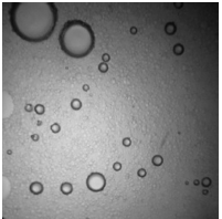
Considerando a figura precedente, que ilustra uma emulsão visualizada em microscópio óptico, julgue o próximo item, relativo aos aspectos farmacotécnicos dessa emulsão.

O tamanho dos glóbulos da fase interna interfere na estabilidade física da emulsão.

 

Provas

Questão presente nas seguintes provas

Residência em Farmácia

120 Questões