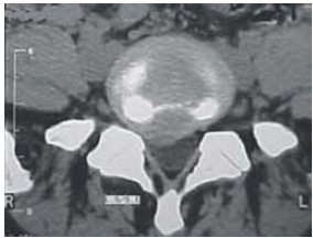
Um empregado de uma fábrica de móveis com 47 anos de idade queixa-se, há algum tempo, de lombalgia, mas continua trabalhando normalmente. Certo dia, teve queda de cima de um caminhão e não conseguiu mais andar devido à dor na região lombar e no membro inferior à direita; ficou em repouso por uma semana, mas continuou com os sintomas álgicos. Voltou ao serviço médico quando realizou novo exame físico, sendo constatadas algumas alterações. O médico solicitou uma tomografia computadorizada (TC) da coluna lombar, cuja imagem é reproduzida abaixo, e o encaminhou ao neurologista.

Acerca desse quadro clínico, julgue o item.
A TC de coluna lombar evidencia lesão compatível com hérnia discal como causa dos sintomas referidos pelo paciente. Tal patologia é mais comum nos segmentos torácicos e lombares.
Provas
Questão presente nas seguintes provas
Analista de Trânsito - Medicina/Neurologia
120 Questões