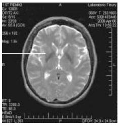
Paciente com 58 anos iniciou quadro de progressiva oligocinesia e rigidez no dimídio esquerdo, sem praticamente apresentar tremor. Foi submetida a uma série de tratamentos com drogas antiparkinsonianas, sem sucesso (levodopa, amantadina, bipirideno, pramipexole). Ao mesmo tempo começou a apresentar mudança de coloração da mão esquerda e infiltração edematosa dessa mão. Sua ressonância nuclear magnética de crânio mostrou diminuição do volume do putamen no lado direito e, nas seqüências ponderadas em T2, hipointensidade de sinal no putamen e hiperintensidade linear na região postero- lateral (também vista nos cortes com densidade de prótons). Do ponto de vista anátomo-patológico, pode-se esperar, nesse caso, a presença de
