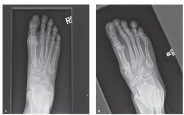
Um paciente de 46 anos compareceu ao setor de
emergência com trauma e dor no pé direito. Após a
realização do exame de imagem, representado abaixo, é
possível chegar à seguinte conclusão:


Provas
Questão presente nas seguintes provas
Médico - Radiologia/Angiotomografia e Ecografia
60 Questões