Magna Concursos
620024 Ano: 2018
Disciplina: Odontologia
Banca: Consulplan
Orgão: Câm. Belo Horizonte-MG
Provas:

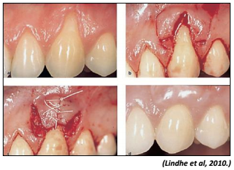
Observe as imagens a seguir.

enunciado 620024-1

De acordo com a classificação dos retalhos quanto à espessura e sua posição após a sutura é correto afirmar que nesta técnica foram utilizados:

Questão Anulada

Provas

Questão presente nas seguintes provas

Dentista

60 Questões