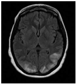
Garota de 13 anos de idade com diagnóstico recente de insuficiência renal crônica apresenta episódio de cefaleia, turvação visual e crise epiléptica tônico-clônica generalizada. A pressão arterial é de 180 x 100 mmHg. A ressonância magnética de crânio demonstra o achado a seguir.

O diagnóstico mais provável é