
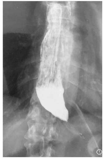
Considerando a figura acima, assinale a alternativa que apresenta a opção terapêutica que está fora do padrão de tratamento para essa situação, em paciente com exame endoscópico com esofagite e nunca tratado previamente.
Provas
Questão presente nas seguintes provas
Residência em Medicina - Endoscopia
40 Questões
Residência em Medicina - Mastologia
40 Questões
Residência em Medicina - Neurologia
80 Questões